


After surgery, the patient received enthusiastic responses from people around her, with many saying she looked 10 years+ younger.
Her friends were so impressed by the high standard of Korean plastic surgery that they said they wanted to visit Korea themselves and asked where she had the procedure done!
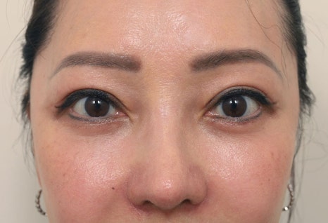
This time, letβs take another look at what surgeries were performed to achieve a more youthful image, along with the patientβs 2-month post-op progress.


- Upper and Lower Blepharoplasty (Eyelid Surgery)
Through upper eyelid surgery and ptosis correction, the droopy inner corners of the eyes were lifted, giving the eyes a more defined and refreshed look.
In addition, the lower blepharoplasty improved the under-eye bags and hollow shadows, contributing to a brighter, more youthful appearance.


- Long Nose Correction
A long, downward-pointing nose can make the face appear longer and more aged.
By reducing the length of the nose to better match the line flowing down from the forehead, the overall facial balance improved, creating a more 3-dimensional and youthful impression.


- Facial Contouring & Facelift Surgery
The patient had long been self-conscious about her facial contours and wished to reduce both the cheekbones and the square jawline. However, she was concerned about sagging after surgery.
For middle-aged patients, combining facial contouring with a facelift is essential to prevent sagging and to refine the jawline and neck area, resulting in a tighter and more youthful profile.


The patient gave us a handwritten letter and gift to express her gratitude.
She mentioned how kind and attentive all the staffs were, and that she loved the clinic so much she plans to return to Korea with her friends for future visits.
A surgery that brings satisfaction to both the patient and the surgeonβthis, we believe, is the definition of a truly perfect surgery result! π
